Periodontal disease is the number one disease in veterinary medicine. At Oakland Animal Hospital, we realize that your pet’s dental health is paramount to their overall health and well-being. (2/15/11-DVM 360) Untreated dental/periodontal disease can lead to heart, liver and kidney disease ultimately shortening the life of your pet, and pain from dental disease negatively impacts their quality of life.
Oakland Animal Hospital is committed to providing your pet with the highest quality dental care available. To that end, we are excited to announce the completion of our state-of-the-art dental suite. Completed in January of 2012, we are now capable of providing your pet (our patients) with even greater dental/oral expertise. Additionally, several of our doctors recently attended a dental course in Colorado Springs focusing on extraction/radiograph techniques along with instruction on complicated dental problems and procedures including jaw fractures and surgical periodontal therapy.
Oakland Animal Hospital has a reputation for providing an exceptional standard of care, and this extends into how we perform our dental procedures. Prior to your pet’s dental, pre-anesthetic blood work will be performed to ensure that your pet has no major organ or metabolic problems that could be complicated by anesthesia. He/She will have an intravenous catheter placed which allows us to provide fluid therapy to maintain adequate blood pressure through the anesthetic process and avoid dehydration post-operatively. After anesthesia is induced, the teeth will be individually examined, ultrasonically scaled, and polished in the same way your teeth are when you go to the dentist. These are steps that we feel pets should receive while undergoing a dental cleaning anywhere. At OAH, though, we take things a step further:
- As mentioned above, dental procedures are now performed in our new dental suite. This room is fully equipped with the best tools available to provide your pet with the highest quality of care.
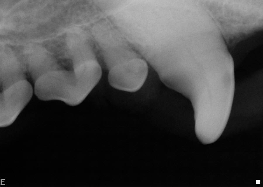
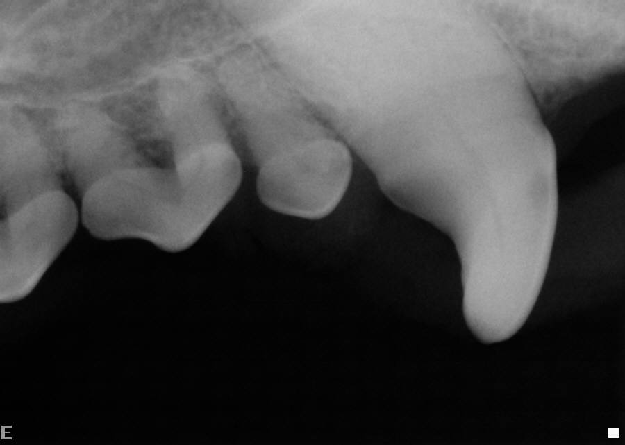
- We use a digital dental x-ray unit to ensure that underlying dental disease is not missed. Many times, tooth/jaw pathology including tooth root abscesses, fractures, and retained tooth roots could be missed without dental x-rays.
- When we determine that a tooth does need to be extracted, we are able to perform dental nerve blocks and then use a high speed drill to help facilitate the extraction. This results in less trauma and pain for your pet.
- Finally, upon waking from anesthesia, your pet is brought to a separate recovery room. This warm/quiet environment is very closely monitored by our technical personnel to ensure that your pet has a safe and comfortable recovery process.
When looking for a veterinarian that will provide your pet with the highest quality of oral care, look to Oakland Animal Hospital.
-
-
Mouth before dental cleaning
-
-
Healthier mouth after dental cleaning
-
-
Dental X-ray Right Bitewing
-
-
Dental X-ray Left Mandibular